第1回ウェブSTAT勉強会 ダイジェスト①

記事の監修医師
【略歴】
熊本大学医学部卒業
【資格/役職】
放射線診断専門医 医学博士
株式会社ワイズ・リーディング 代表取締役兼CEO
医療法人社団 寿量会 熊本機能病院 画像診断センター長
熊本大学医学部 臨床教授
放射線技師の高石です。
第1回ウェブSTAT勉強会へご参加いただきました皆さま、誠にありがとうございました。
今回は、勉強会の内容をダイジェスト版としてご紹介していきたいと思います。
この勉強会は迅速な画像診断報告(STAT画像報告)に関連する臨床症例に焦点を当てた、勉強会になります。
今回の勉強会の内容では、1症例目で冠動脈CT検査中に偶発的に発見された肺塞栓症および深部静脈血栓症が取り上げられ、造影効果を高めるための低電圧CTによる迅速な追加撮影の重要性が示されました。議論では、低電圧CTが造影効果を高め、被曝量を削減できるという技術的側面が検討されています。
また2例目では、小児の頭部外傷が扱われ、当初は見落とされがちだった軽度の陥没骨折と脳挫傷の診断に、翌日のフォローアップCTと3D画像解析が決定的な役割を果たしました。特に小児の外傷患者における高次脳機能障害の予後に関連して、画像診断が負うべき重大な責任について強調しています。これらの事例を通して、診療放射線技師による現場での洞察力と適切な撮影技術の重要性が示されています。
ぜひ、最後までご覧ください。
冠動脈CT検査中に偶発的に発見された肺塞栓症および深部静脈血栓
症例1
- 患者情報
60代男性
冬の時期:午前中の通勤途中(バス通勤)に早歩きする際に月に1~2回の心窩部痛を自覚するようになり、かかりつけに相談したところ専門医での精査を勧められ、9月10に当院の循環器内科を受診された方です。
既往歴:高血圧、脂質異常症、高尿酸血症、逆流性食道炎、耐糖能異常、腎機能低下(eGFR35)
冠動脈CTにて狭心症精査目的でCTの依頼がありました。
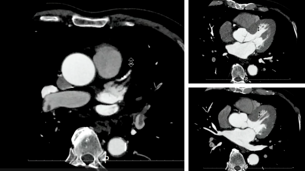
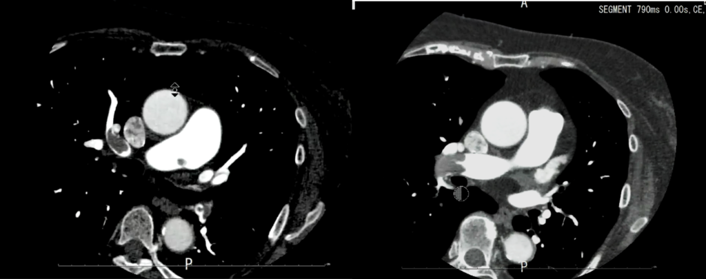
- CT画像
上行動脈にROIを置いたボーラストラッキングにてイオパミロン370 造影剤注入速度5.0ml/sec 造影剤量65mlにて撮影された画像です。



その他に何か所見はきづきましたか?


両側の肺動脈に造影不良域(filling defect)を認めます。
肺動脈塞栓(PTE)を疑う画像です。
この症例では撮影者がリアルタイムにこの所見に気づき、すぐ放射線科医に報告し肺動脈と深部静脈を観察するために胸腹部の追加撮影を行いました。
(当院では造影CTを行う際に放射線科医も同席するためその場で確認することができ、撮影を追加しました。本来であれば残った造影剤を全部注入し肺動脈の検査と深部静脈の検査を行う方が良かったのですが、腎機能も低かったのでこのまま撮影することとなりました。その際、少しでも造影効果を高めるために管電圧を80~100kVに下げて撮影を行いました)
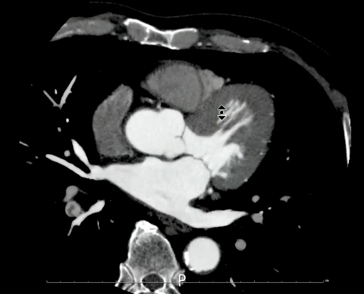
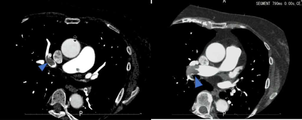
その時の画像がこちらです。
造影後3分で追加撮影をしました。

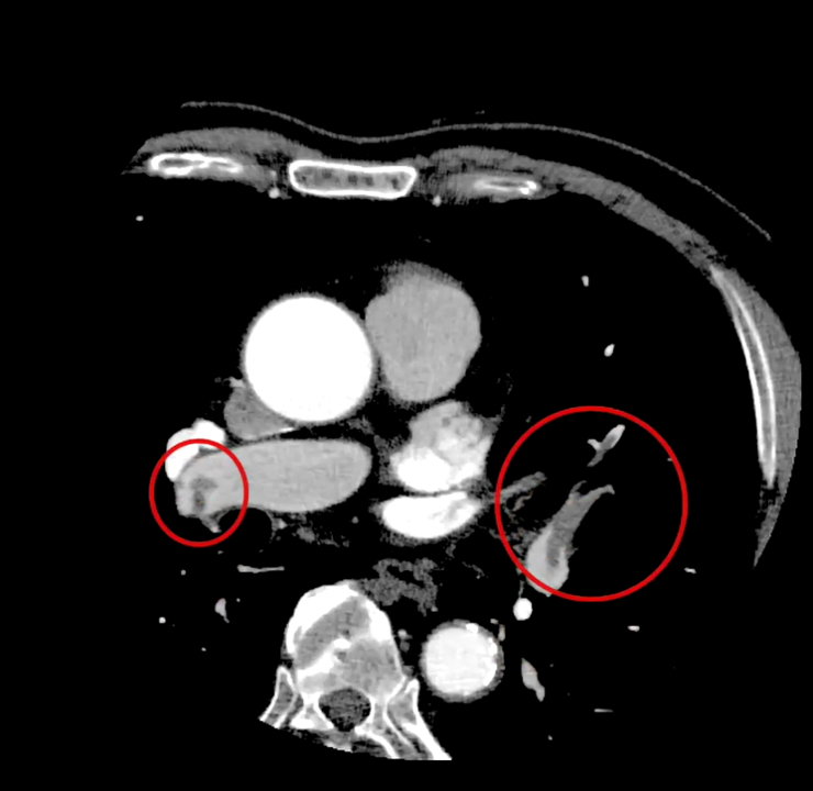
この方は検査前情報にはなかったのですが、右のTKA術後の方でした。右膝関節術部周囲を主体に下腿~大腿骨遠位レベルにfilling defectが複数認められました。

管電圧を下げて撮影することで、造影剤が60mlほどでも深部静脈の評価が可能でした。時間経過で造影効果が低くなった肺動脈の観察も観察することができました。
現場で症例に気づき、寝台から降ろさずに放射線科に相談し腎機能低下していることから追加造影は行わずに管電圧を低くして撮影に対応し、病変部が観察できた症例になります。
この方は、両側PTEということでウォークインで来られたのですが、安静にするため寝台から降ろさずに寝たままストレッチャーにて外来へ戻っていただきそのまま入院となりました。
症例2
- 患者情報
70代女性。
2025年9月家事中に左胸部に鈍痛出現。歩行時に息切れのような症状も自覚。
かかりつけにて心電図を施行し、その結果V4-6のST以上を認め、同日当院循環器内科を紹介され来院されました。
既往歴:高血圧、脂質異常、2型糖尿病
→当院での検査結果で明らかな心機能異常や右心負荷所見は認められないが、心電図所見や基礎疾患を考慮して冠動脈CTの依頼となりました。
・CT画像

冠動脈に有意な狭窄はなかったのですが、先ほどの症例と同じように

肺動脈にfillifng defectを認めます。
この方に関しては、検査中に気づくことができず、冠動脈CTが終わったあと寝台から降りて外来へと戻られました。
その後、画像を作成するために画像を再び見た時に気づき、すぐに放射線科医に報告しました。
放射線科医と相談後、すぐに胸部から足尖まで追加撮影を行うこととなり、外来へ連絡しストレッチャーにて再びCT室まで来ていただきました。
この時すでにルートは外れており、追加造影も行えない状況でした。
造影後”15分後”に追加で撮影した画像がこちらです。

造影後15分後でも造影効果がわずかに残っていました。
これを見ると、冠動脈CTでは右肺動脈に大きい血栓があるように見えましたが、左肺動脈の方が血栓サイズが大きく、これによる左胸の痛み症状だったのではないかと考えられました。

下肢静脈も15分後でもわずかに造影効果が残っており、左浅大腿静脈にfilling defectを認めました。
造影剤量も60mlと通常の深部静脈を観察するには少ない量でしたが、15分後の撮影でもなんとか観察することができました。
こちらも管電圧を下げて撮影しました。時間経過で造影効果が低くなった肺動脈や深部静脈の造影効果を上げてなんとか観察することができた症例です。
討論
肺動脈内に血栓があるというのが分かった段階で次にやるべきことっていうのは、当然どこから血栓が飛んできたのかを探すことになります。
そのまま寝台に寝ているので、深部静脈血栓のスクリーニングをやるべきだと思います。
しかし、もう時間も十分経ち、造影剤量も十分入れてないけども、現場で気づき、追加撮影する時に何ができるのかと考えると、確かに電圧を下げることによって造影剤の造影効果を引き立てるっていうことが重要になります。物凄く工夫して検査を行った撮影だと思います。
このように病変部を発見後、通常通りではなく考えて撮影できた点はすごくよかったのかなと思います。
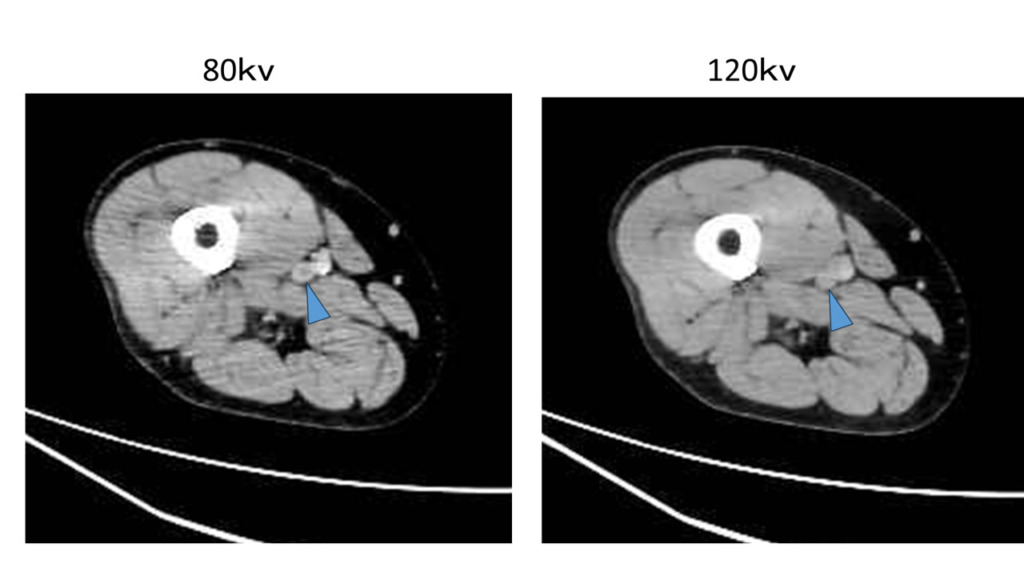
低電圧CT撮影について


120kvで撮影した時の造影剤のCT値を1とした時の相対値では低電圧にするとCT値が1.6と上がり、120kvでの撮影した時と同じ造影効果を得るために必要な造影剤量も62%と減らせます。
実際の画像ですが、

120kV と比べるとCTは上がっていることがわかります。
当院の臨床画像でも

80kvで撮影した方がDVTの描出が良くなっています。
その他にも低電圧で撮影するので光子量が減るため、被ばく量が少なくなるというメリットもありますが、ただし注意が必要なのは電圧を下げることによって透過するエネルギーが低くなるので120kvと比較するとノイズが多くなります。
なのでノイズに注意して撮影しなければなりません。
最近では、人工知能を取り入れた画像再構成法が出てきており、ノイズを極端に減らせるようになり、各メーカーで低電圧で撮影してもノイズが目立たない技術も出てきています。低電圧撮影を行う際には人工知能を取り入れた画像再構成法が装置に入っているのであればそちらで再構成すると良いです。
肺塞栓症に関して、画像報告する意義

最初の症例では、寝台に乗せたまま気づけたので良かったのですが、2例目は気づかずに1度検査台から降りて歩いて外来まで行っています。
2例目の症例のように、両側の肺動脈血栓が大きい患者さんはちょっとしたことで容体が変わることがあるので寝台から降ろさずストレッチャーでの移動が最適です。
何よりも検査中に所見を見つけられるか、所見を発見した後にどのように報告するかというのが非常に大事になります。
撮影に関して放射線技師も”一定の責任を追ってもらう必要がある”と思います。なので、寝台から降ろす前にしっかり画像を確認し、報告することまで徹底してもらいたいと思います。
肺塞栓症は命にかかわる症例です。日中であれば放射線科や主治医に、当直時間帯であれば担当医に報告すると良いと思います。
以上、冠動脈CT検査中に偶発的に発見された肺塞栓症および深部静脈血栓の報告と追加撮影を行った症例でした。