第1回ウェブSTAT勉強会 ダイジェスト②

記事の監修医師
【略歴】
熊本大学医学部卒業
【資格/役職】
放射線診断専門医 医学博士
株式会社ワイズ・リーディング 代表取締役兼CEO
医療法人社団 寿量会 熊本機能病院 画像診断センター長
熊本大学医学部 臨床教授
放射線技師の高石です。
第1回ウェブSTAT勉強会へご参加いただきました皆さま、誠にありがとうございました。
今回は、勉強会の内容をダイジェスト版として「第1回ウェブSTAT勉強会 ダイジェスト②」の続きをご紹介していきたいと思います。
ぜひ最後までご覧ください。
症例 小児頭部外傷
- 患者情報
10代男性。
自転車で走行中に側溝に転倒。
前額部挫創あり。
既往歴:なし
頭部CT検査を施行されました。
・CT画像

左前額部皮下に血腫を認めます。この辺りが受傷部と思われます。
次に骨条件です。

受傷部には皮下気腫も伴っています。目立った出血や骨折はなさそうに見えます。
所見としては「前額部、前頭部皮下血腫があります。その他の外傷後変化はありません。」というレポートを出しました。
そして翌日、再度CT検査が行われました。

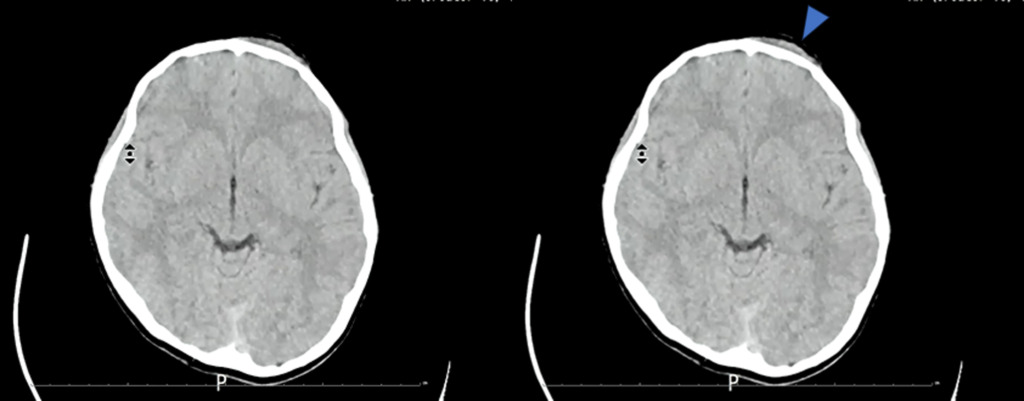
翌日の頭部CTで受傷部付近の画像です。
これを見て何か気づくことはないですか?

矢印の部位でわずかにここに出血があります。
軟部条件では観察しづらいのですが、WLを50、WWを100程度に設定すると、

わずかに高吸収域を認めます。外傷後の外傷性硬膜下出血と思われます。
もう1つ高吸収域が存在しています。

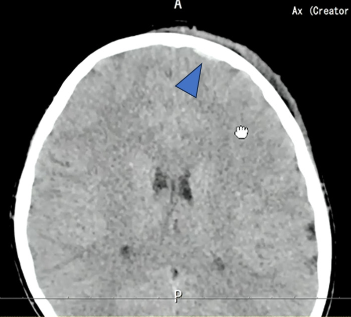
矢印の部位について、臨床の先生から”脳挫傷”があるのではないかと再読影の依頼が来ました。
受傷日と翌日のCTと比較すると、確かに出血が顕在化し、目立っておりわずかな硬膜下血腫もしくはくも膜下血腫と脳挫傷の可能性があると再読影をしました。
この時に最初のCT画像を振り返ると、実は”3D画像”がありました 。
画像がこちらです。

受傷部側の画像ですが、なにか気づきましたか?

受傷部の骨が一部陥没していることがわかります。
これを踏まえて、もう一度、骨条件の画像を確認しました。


一見すると異常が分かりにくい画像でも、3D画像を確認することで骨折の存在が明確になりました。
小児は骨が柔らかいため、外板のみが折れて陥没し、完全骨折に至らず所見が目立ちにくいことがあります。出血も初期は少量で、時間経過とともに明瞭化しました。本症例は外傷性陥没骨折、外傷性くも膜下出血・硬膜下血腫、脳挫傷と診断されました。
臨床の先生方は、患者さんの全身状態や外表の外傷など、画像だけでは分からない情報を捉えています。本症例でも「少し様子が違う」という臨床的違和感から再読影が依頼され、結果として重要な所見の見直しにつながりました。画像と臨床所見をすり合わせることの重要性を示す一例です。
🔦ポイント
臨床症状を重視
3D画像が効果的
受傷部位に注目
実際に患者さんの情報、患者の状況やどこを受傷してどのような受傷なのかなどの臨床情報がとても大事だなと感じました。
頭部外傷では3D画像が有効な場面がありますが、全例に作成するのは現実的ではありません。だからこそ「何か怪しい」と感じたときに3D画像を追加する判断が重要となります。
2日目の追加頭部CT撮影について小児の被ばくについて
”何を目的にCT検査をしたか”によるかなと思ってます。
例えば、脳挫傷とか外傷性の出血を疑っているのであれば血種がどのくらい広がるかを見るという意味で次の日のフォローの CTっていうのは意味があるのかなと思います。
今回も血腫がはっきりわかったので有用ではあったと感じます。
一方で、本当に被ばくを伴うCTが最適なのか、あるいはMRIの方が望ましいのではないかといった点は、十分に議論の余地があるところだと思います。小児への被ばくには私たちも慎重にならざるを得ませんが、外傷性出血の可能性を少しでも疑うのであれば、適切なフォローを行うことが重要だと考えます。
11歳、この子はどうですか?
高次脳機能障害
- 前頭葉
- 前頭前野:意思決定、計画、社会的行動、感情制御などに関与。損傷すると、実行機能障害(計画性や判断力の低下)や人格変化が生じます。
- 運動前野:運動の準備や実行に関与。損傷すると運動企図が低下することがあります。
- 側頭葉
- 側頭葉内側面(海馬・扁桃体を含む):記憶形成に重要。損傷すると記憶障害、特に新しい情報の記憶が困難になります。
- 上側頭回:言語理解に関与。損傷すると感覚性失語(言語の理解が困難)が生じます。
- 頭頂葉
- 頭頂連合野:空間認識や物体認識に関与。損傷すると半側空間無視(空間認識の障害)や身体部位失認が生じることがあります。
- 後頭葉
- 視覚野:視覚処理に関与。損傷すると視覚認知障害や視覚失認(物体を認識できない)が見られます。
これらの部位に損傷が生じると、注意、記憶、遂行機能、言語、社会的行動などの高次脳機能に影響が出るため、それぞれの部位の障害に応じた症状が現れます。

小児TBI(外傷性脳損傷)において、前頭葉は「未熟な脳への損傷」である点が最大の特徴であり、成人とは異なる経過(Growing into deficit)を念頭に置いたマネジメントが求められます。
1. 解剖学的・病態生理学的課題
左前頭葉損傷では、局所症状に加え、ネットワーク障害としての影響を考慮する必要があります。
- 損傷部位と局所症状:
- 前頭前野(Prefrontal Cortex: PFC): 背外側(DLPFC)の障害による遂行機能障害、眼窩面(Orbitofrontal)の障害による脱抑制・社会的行動障害、内側面(Medial)の障害による自発性低下(Apathy)。
- ブローカ野(Broadmann 44/45): 優位半球である場合、運動性失語、流暢性の低下、構音失行。
- 運動野・運動前野: 右片麻痺、巧緻運動障害。
- 小児特有の脆弱性:
- 前頭葉は髄鞘化(Myelination)の完成が最も遅く(20代まで続く)、受傷時点で機能が未分化な領域が多い箇所です。
- びまん性軸索損傷(DAI)の合併: 回転加速度による剪断応力で、画像上の挫傷巣以上に広範囲な白質損傷(前頭葉-大脳基底核-視床ループの寸断など)を伴っている可能性が高く、認知機能予後を慎重に評価する必要があります。
2. 高次脳機能障害の臨床像と診断の難しさ
身体機能(麻痺など)の回復後も残存し、QOLを著しく低下させる要因です。
A. 遂行機能障害(Executive Dysfunction)
小児では「計画性がない」「片付けられない」といった行動が年齢相応と混同されやすく、見過ごされがちです。
- 症状: 課題のセット転換困難(保続)、ワーキングメモリの低下、抑制制御の欠如。
- 評価: WISCなどの一般的知能検査ではIQが正常範囲内に出ることが多いため、過小評価されます。BADS-C(遂行機能障害症候群の検査)やWCST(ウィスコンシン・カード・ソーティングテスト)、日常行動評価(BRIEFなど)の併用が必須です。
B. 社会的行動障害と情動調節
左前頭葉損傷では、抑うつ症状よりも「易怒性」「脱抑制」が目立つ傾向があります。
- 症状: 感情爆発(Temper tantrums)、対人距離の近さ、状況判断の欠如。
- 鑑別: 受傷後の二次的なADHD(Attention-Deficit/Hyperactivity Disorder)様症状として現れることがあり、発達障害との鑑別や合併の評価が複雑になります。
C. 言語・コミュニケーション障害
単なる失語症(Aphasia)だけでなく、語用論的障害(Pragmatics)が課題となります。
- 流暢に話せても「文脈が読めない」「比喩が通じない」「相手の話を待てない(Turn-takingの障害)」など、コミュニケーションの質的障害が学校生活での孤立を招きます。
3. 最大の課題:Growing into deficit(成長に伴う障害の顕在化)
小児の前頭葉損傷において最も警戒すべき現象です。
- 概念: 受傷直後の幼児期・低学年期には、求められる社会的・認知的タスクが単純であるため、障害が表面化しません(Latent period)。
- 顕在化の時期: 抽象的思考、計画性、多重課題の処理能力が求められる「小学校高学年~中学生」になった段階で、健常児との発達格差が顕著になります。
- リスク: この時期には既に受傷から数年が経過しているため、教育現場や保護者が「受傷の後遺症」とは認識できず、「本人の怠慢」「反抗期」「性格の問題」として不適切に処理されるリスクがあります。
4. マネジメントと支援のポイント
急性期治療後の長期フォローアップ戦略が予後を左右します。
| 領域 | 具体的なアプローチ |
| 神経心理学的評価 | 定期的な再評価(年1回など)が必須です。特に就学、進級、進学のタイミングで詳細な評価を行い、新たな課題が出現していないか確認します。 |
| 医教連携 | 医療機関から学校への**「診療情報提供書」や「意見書」の質**が重要です。「左前頭葉挫傷」という診断名だけでなく、「指示は短く具体的に」「座席は最前列に」「板書を写す時間の猶予」といった具体的な環境調整策(合理的配慮の内容)を提示する必要があります。 |
| 家族教育(Psychoeducation) | 「元に戻ったように見えるが、脳は疲れやすくなっている(易疲労性)」「今はできていても、将来困りごとが出る可能性がある」という長期的見通しを共有し、受容を支援します。 |
| 薬物療法 | 易怒性や注意障害が著しい場合、中枢刺激薬やα2作動薬、非定型抗精神病薬などの対症療法的な使用を検討するケースもあります。 |
まとめ
今回のような小児の脳挫傷は、今後の成長にどのような影響を与えるかが問題になります。
ご存じの方も多いと思いますが、高次脳機能障害の関連でよく言われるのが左前頭葉です。
左前頭葉には意思決定、計画、社会行動、感情制御などの機能があります。
ここにダメージがあると、受傷直後は分からなくても、将来「勉強が苦手になった」「記憶が悪くなった」などの症状が出る可能性があります。保護者の方が「事故が原因ではないか」と心配されることもあります。
小児頭部外傷は、その後の人生に大きく影響する重大な問題です。保護者はお子さんの将来や学業への影響を強く懸念しており、診断が持つ意味は非常に大きなものになります。受験など今後の進路にも関わる可能性があるため、ひとつひとつの判断に対して真剣に向き合われています。ですので、左前頭葉脳挫傷を負った小児の診療においては、「運動麻痺や失語の回復をもって『治癒』とみなさない」ことが肝要です。
画像診断で微小出血があれば「脳挫傷」と判断し脳へのダメージは医学的に説明できますが、将来の学力や記憶力の問題が事故に起因するかどうかは誰にも証明できません。
前頭葉機能は、社会生活を営むための基盤です。「見えない障害」に対するアドボカシー機能(学校や社会への代弁)を医療者が担い、成人期に至るまでの長いスパンで伴走する体制づくりが求められます。
臨床は、難しいですね。。。
以上、小児頭部外傷の症例でした。